La histología de las tubas uterinas constituye un ejemplo paradigmático de la estrecha relación entre estructura microscópica y función biológica dentro del aparato reproductor femenino. Estos conductos pares, conocidos también como trompas de Falopio, establecen una continuidad anatómica entre el útero y la vecindad inmediata del ovario, creando no solo una vía de transporte, sino un microambiente dinámico y altamente regulado que permite la captación del ovocito, la fecundación y el desarrollo embrionario temprano hasta el estadio de mórula. Cada uno de sus componentes histológicos está organizado de tal manera que responde con precisión a las exigencias funcionales de cada fase del ciclo ovárico y del proceso reproductivo.
Desde el punto de vista macroscópico, cada tuba uterina mide aproximadamente entre diez y doce centímetros de longitud y se divide en cuatro regiones: infundíbulo, ampolla, istmo y porción uterina o intramural.
- El infundíbulo, con forma de embudo, se abre hacia la cavidad peritoneal y presenta prolongaciones digitiformes denominadas fimbrias, que se proyectan hacia la superficie del ovario.
- La ampolla, que constituye la mayor parte de la longitud total, es el segmento donde se produce con mayor frecuencia la fecundación.
- El istmo representa una zona de calibre más reducido y paredes más gruesas, mientras que la porción intramural atraviesa el espesor del miometrio y se comunica con la cavidad uterina.
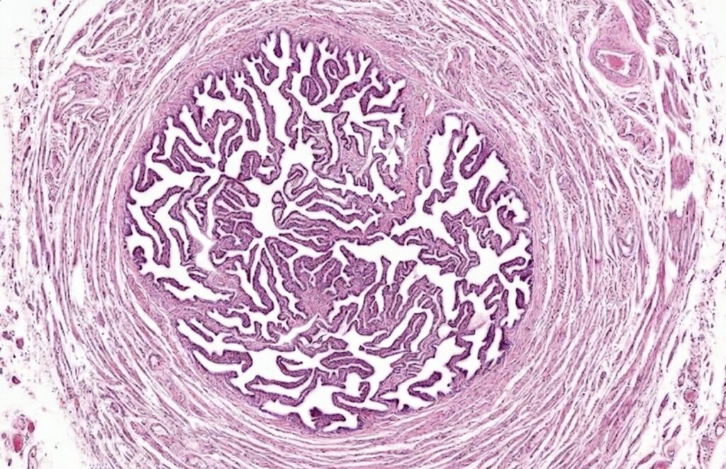
La pared tubárica está formada por tres capas bien definidas: una capa serosa externa, una capa muscular intermedia y una mucosa interna, careciendo de submucosa, lo cual tiene implicaciones funcionales importantes. La ausencia de submucosa favorece una relación íntima entre el epitelio y la capa muscular, permitiendo que los pliegues mucosos se proyecten directamente hacia la luz sin la interposición de un estrato conjuntivo voluminoso, lo que contribuye a la notable complejidad luminal, especialmente en la ampolla.
- La capa serosa corresponde al peritoneo visceral y está constituida por un mesotelio simple plano apoyado sobre una fina capa de tejido conjuntivo laxo. Esta disposición permite la movilidad de la trompa dentro de la cavidad pélvica y facilita los movimientos necesarios para la captación del ovocito en el momento de la ovulación. La capacidad de las fimbrias para aproximarse al ovario depende, en parte, de la flexibilidad conferida por esta cubierta serosa.
- La capa muscular presenta una organización predominantemente en dos estratos: uno interno circular, relativamente grueso, y otro externo longitudinal, más delgado. Aunque el límite entre ambos no siempre es nítido, su disposición permite la generación de ondas peristálticas coordinadas. Estas contracciones no son aleatorias; se encuentran moduladas por estímulos hormonales y nerviosos, así como por señales locales derivadas del propio ovocito y del entorno peritoneal. En el istmo, la capa muscular es más desarrollada, lo que contribuye a regular el paso del embrión hacia la cavidad uterina, actuando como un segmento de tránsito controlado.
- La mucosa tubárica es el componente histológico más especializado. Se caracteriza por la presencia de numerosos pliegues longitudinales que se ramifican y anastomosan, generando una luz irregular y laberíntica. Esta arquitectura es particularmente compleja en la ampolla, donde los pliegues alcanzan su máximo desarrollo, mientras que en el istmo se tornan más escasos y bajos. La función de esta disposición no es meramente estructural: incrementa de manera significativa la superficie de contacto entre el epitelio y el contenido luminal, optimizando los intercambios metabólicos y el soporte nutricional del ovocito y del embrión temprano.
El epitelio que reviste la mucosa es cilíndrico simple y está compuesto por células ciliadas y células no ciliadas secretoras, también denominadas células en tachuela. Estas no constituyen linajes completamente independientes, sino estados funcionales diferenciados de una misma población epitelial bajo la influencia hormonal.
- Las células ciliadas predominan en el infundíbulo y en la ampolla, regiones donde el transporte del ovocito es crítico. Sus cilios vibrátiles baten de manera coordinada en dirección al útero, generando corrientes que facilitan el desplazamiento del complejo ovocito-corona radiada hacia el interior de la trompa.
- Las células no ciliadas poseen un citoplasma más voluminoso y presentan actividad secretora intensa. Elaboran un fluido rico en glucoproteínas, iones y otras moléculas que proporcionan un entorno nutritivo y protector. Este líquido no solo sustenta al ovocito y al embrión en sus primeras divisiones celulares, sino que también interviene en procesos de capacitación espermática, modulando la funcionalidad de los gametos masculinos dentro de la luz tubárica.
La histología tubárica está profundamente condicionada por el ciclo hormonal. Durante la fase folicular, el incremento en la concentración de estrógenos estimula la proliferación y la hipertrofia de las células epiteliales, promoviendo además la ciliogénesis. En este periodo, el epitelio alcanza su máxima altura, cercana a treinta micrómetros en el momento de la ovulación, lo que refleja una intensa actividad funcional. En contraste, durante la fase lútea, bajo la influencia predominante de la progesterona, disminuye la proporción de células ciliadas y se incrementa la actividad secretora. Posteriormente, si no ocurre fecundación, el epitelio experimenta un grado de atrofia antes de la menstruación.
El transporte dentro de la tuba uterina es bidireccional y complejo. Antes de la ovulación, las fimbrias se aproximan al ovario, guiadas por mecanismos aún no completamente dilucidados que incluyen señales hormonales y posiblemente quimiotácticas. Una vez liberado el ovocito, el batido ciliar del infundíbulo y las contracciones peristálticas lo dirigen hacia la ampolla. Simultáneamente, los espermatozoides ascienden desde el útero en dirección contraria. Aunque poseen movilidad propia, su velocidad y eficiencia de desplazamiento sugieren la participación de corrientes luminales y contracciones musculares que facilitan su avance.
La fecundación ocurre habitualmente en la ampolla, cerca de su transición con el istmo. Tras la formación del cigoto, este permanece en la trompa durante aproximadamente tres días, periodo en el que alcanza el estadio de mórula antes de ingresar en la cavidad uterina. El control temporal del tránsito embrionario es esencial para que el endometrio se encuentre en el estado receptivo adecuado.
Cuando la integridad estructural o funcional de la trompa se altera, pueden producirse fallos en el transporte. Procesos inflamatorios, intervenciones quirúrgicas, ligaduras tubáricas o alteraciones inducidas por dispositivos intrauterinos pueden modificar la arquitectura epitelial, destruir cilios o alterar la motilidad muscular. En tales circunstancias, el embrión puede implantarse de manera ectópica, fenómeno que ocurre en la gran mayoría de los casos dentro de la propia trompa uterina. Este desenlace pone de manifiesto la importancia crítica de la organización histológica tubárica en la reproducción humana.

Fuente y lecturas recomendadas:
- Ross, M. H. & Pawlina, W. (2020). Histología: texto y atlas: correlación con biología molecular y celular (8.ª ed.). Wolters Kluwer.
- Gartner, L. P. (2020). Textbook of Histology (5th ed.). Elsevier.
- Karp, G., Iwasa, J., & Marshall, W. (2019). Biología celular y molecular: conceptos y experimentos (8.ª ed.). McGraw-Hill Interamericana.

