La evaluación sistemática de la inspiración constituye un paso esencial en el análisis técnico de una radiografía de tórax, porque condiciona de manera directa la calidad diagnóstica de la imagen y la fidelidad con la que se representan las estructuras anatómicas intratorácicas. Antes de interpretar cualquier hallazgo como patológico, el observador debe asegurarse de que la adquisición de la imagen se realizó en condiciones respiratorias adecuadas. De lo contrario, variaciones puramente técnicas pueden simular enfermedad o, por el contrario, ocultar alteraciones reales.
Desde el punto de vista fisiológico, la inspiración profunda implica la contracción coordinada del diafragma y de los músculos intercostales externos, lo que produce un aumento del volumen torácico en sus dimensiones vertical, anteroposterior y transversal. Esta expansión incrementa la presión negativa intratorácica y permite la entrada de aire en los pulmones, con la consiguiente expansión de los alveolos y el desplazamiento caudal del diafragma. Cuando la radiografía se obtiene en el momento de inspiración máxima sostenida, los pulmones se encuentran en su mayor grado de distensión y el parénquima pulmonar presenta una distribución homogénea de aire. Esta condición genera una imagen reproducible y comparable entre estudios sucesivos, lo cual es indispensable en el seguimiento evolutivo de enfermedades respiratorias, cardiovasculares o sistémicas.
La inspiración completa también reduce la probabilidad de artefactos derivados del colapso parcial del parénquima pulmonar. En una inspiración insuficiente, el volumen pulmonar es menor y la densidad aparente del tejido pulmonar aumenta, porque existe menor cantidad de aire por unidad de volumen. Este fenómeno produce un aspecto radiográfico de incremento de la trama pulmonar, especialmente en las regiones basales, donde el efecto gravitacional y la menor expansión favorecen la superposición de vasos y estructuras intersticiales. Tal patrón puede simular consolidaciones infecciosas, como una neumonía del lóbulo inferior, o sugerir erróneamente congestión pulmonar. Por ello, diferenciar un hallazgo patológico verdadero de una falsa opacidad inducida por técnica deficiente requiere, en primer lugar, valorar el grado de inspiración.
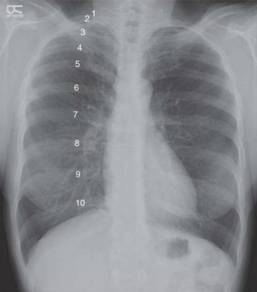
La forma más práctica y objetiva de estimar la inspiración en una radiografía torácica frontal consiste en contar el número de costillas posteriores visibles por encima del diafragma. Las costillas posteriores se identifican con mayor facilidad que las anteriores debido a su orientación casi horizontal y a su unión directa con los cuerpos vertebrales dorsales. En la proyección frontal, estas costillas se aprecian como arcos relativamente rectilíneos que se extienden lateralmente desde la columna vertebral. En contraste, las costillas anteriores descienden en dirección inferomedial hacia el esternón y presentan una inclinación oblicua hacia los pies. Además, su porción cartilaginosa anterior no suele visualizarse en individuos jóvenes, dado que el cartílago costal es radiolúcido y solo se hace visible cuando experimenta calcificación con el envejecimiento.
En condiciones ideales, la visualización de diez costillas posteriores por encima del hemidiafragma derecho se considera indicativa de una inspiración excelente. Este parámetro sugiere que el paciente realizó una inspiración profunda adecuada y que el volumen pulmonar alcanzado permite una evaluación confiable de la arquitectura pulmonar y de las siluetas cardiomediastínicas. Sin embargo, en el entorno hospitalario, donde muchos pacientes presentan dolor, debilidad, compromiso neurológico o limitaciones mecánicas para cooperar con la maniobra respiratoria, la visualización de ocho a nueve costillas posteriores suele considerarse suficiente para una interpretación diagnóstica razonable. Valores inferiores a este umbral deben alertar al intérprete sobre la posibilidad de inspiración insuficiente y, por tanto, sobre el riesgo de artefactos.
La insuficiencia inspiratoria no solo afecta la apariencia del parénquima pulmonar, sino también la relación entre las estructuras torácicas. El diafragma aparece más elevado, el tamaño cardíaco puede parecer aumentado de forma aparente debido a la reducción del volumen pulmonar circundante, y los vasos pulmonares se observan más prominentes por la compresión relativa del tejido aireado. Estas alteraciones pueden inducir diagnósticos erróneos de cardiomegalia, edema pulmonar o infiltrados alveolares si no se reconoce la causa técnica subyacente.
Para minimizar la probabilidad de error, es recomendable correlacionar la proyección frontal con la proyección lateral cuando exista sospecha de patología en las bases pulmonares. La proyección lateral permite confirmar o descartar consolidaciones verdaderas al ofrecer una perspectiva complementaria que reduce la superposición de estructuras. Asimismo, la comparación con estudios previos realizados con adecuada inspiración puede aclarar si un hallazgo corresponde a una variación técnica o a una alteración patológica reciente.

Fuente y lecturas recomendadas:
- Herring, W. (2024). Radiología básica: Aspectos fundamentales (5.ª ed.). Elsevier España.
- Bushong, S. C. (2022). Manual de radiología para técnicos: Física, biología y protección radiológica (12.ª ed.). Elsevier.
- Formación en Radiología (FORA), Del Cura Rodríguez, J. L., Aquerreta Beola, J. D., Sendra Portero, F., & Carreira Villamor, J. (2021). Radiología básica: Método programado para el aprendizaje. Editorial Médica Panamericana.

