La constitución anatómica del intestino grueso se distingue por la presencia de tres capas que componen su estructura básica, cada una desempeñando un papel fundamental en su funcionamiento.
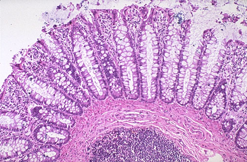
- La mucosa: la capa más interna, revela una considera espesura y exhibe pliegues tanto longitudinales como transversales. Estos pliegues forman espolones en la unión de los relieves, correspondientes a las tenias, los pliegues semilunares y las haustras observadas en la cara externa. Cabe destacar que, a diferencia del intestino delgado, en la mucosa del intestino grueso no se identifican pliegues circulares ni vellosidades, siendo su función central la segregación de mucus mediante células caliciformes y glándulas.
- La capa muscular: ubicada entre la mucosa y la serosa, exhibe una configuración peculiar. Por un lado, una capa muscular externa agrupada en tres tenias, cintillas longitudinales que se extienden a lo largo del colon. Por otro lado, una capa muscular circular interna cuyos engrosamientos generan los pliegues semilunares característicos del colon. A pesar de su relativa delgadez y fragilidad en comparación con otras partes del sistema digestivo, la capa muscular desempeña un papel esencial en los movimientos peristálticos que facilitan el transporte de los contenidos intestinales.
- La serosa: constituye el revestimiento del intestino grueso. Principalmente compuesta por peritoneo, se adhiere a los planos musculares. Sin embargo, se encuentra separada de estos por vasos sanguíneos y apéndices omentales. La serosa adopta una disposición específica para cada segmento del intestino grueso, contribuyendo tanto a la integridad estructural como a las relaciones con las estructuras circundantes.
Mucosa de intestino grueso
La mucosa del intestino grueso constituye la capa más interna de su pared y se caracteriza por diversas características anatómicas y funcionales específicas.
Se destaca su notable espesura, lo que implica que esta capa presenta una considerable densidad en comparación con otras regiones del tracto digestivo. Esta característica proporciona resistencia y soporte estructural al intestino grueso.
La mucosa exhibe pliegues tanto longitudinales como transversales, contribuyendo a una mayor superficie de absorción y a la formación de espolones en la unión de los relieves. Estos espolones son estructuras elevadas que se corresponden con las tenias, las cintillas longitudinales del colon, así como con los pliegues semilunares y las haustras que se manifiestan en la cara externa del intestino grueso. Este patrón de pliegues y espolones es fundamental para la función de absorción y para la formación de áreas especializadas en la superficie mucosa.
Es importante señalar que, a diferencia del intestino delgado, en la mucosa del intestino grueso no se identifican pliegues circulares ni vellosidades. Esta diferencia estructural refleja las adaptaciones específicas de cada región del tracto digestivo a sus respectivas funciones en el proceso digestivo.
En cuanto a la función secretora, la mucosa del intestino grueso exhibe células caliciformes y glándulas que desempeñan un papel crucial en la producción y secreción de mucus. El mucus tiene diversas funciones, como proporcionar lubricación para facilitar el paso de los contenidos intestinales y proteger la mucosa contra la acción abrasiva de los alimentos.
Capa muscular
La capa muscular del intestino grueso, una componente esencial de su estructura anatómica, desempeña un papel fundamental en los procesos de motilidad y contracción que caracterizan el sistema digestivo. Este concepto se describe detalladamente de la siguiente manera:
La capa muscular está organizada en dos subcapas distintivas. La capa externa se presenta agrupada en tres tenias, cintillas longitudinales que recorren longitudinalmente el colon. Estas tenias no solo confieren soporte estructural al intestino grueso, sino que también desempeñan un papel crucial en la definición de su forma característica, actuando como puntos de anclaje para otras estructuras anatómicas circundantes.
Además, en conjunción con la capa muscular externa, se encuentra una capa muscular circular interna. Esta última es responsable de generar los pliegues semilunares, características anatómicas distintivas del colon. Estos pliegues, al formarse por los engrosamientos de la capa circular interna, aumentan la superficie de absorción en la mucosa, optimizando la absorción de agua y electrolitos y contribuyendo a la eficiencia del proceso digestivo.
A pesar de la importancia funcional de la capa muscular, es relevante destacar que se presenta de manera relativamente delgada y frágil en comparación con otras capas musculares presentes en el tubo digestivo. Aunque esta delgadez aparente, no obstante, no compromete su capacidad para cumplir eficazmente con su función de propulsar los contenidos intestinales a lo largo del colon.

Serosa
La capa serosa del intestino grueso constituye la capa más externa de su pared y desempeña un papel crucial en la protección y la conexión estructural con las estructuras circundantes.
La serosa se caracteriza por la adhesión del peritoneo a los planos musculares del intestino grueso. Este peritoneo, una membrana serosa que recubre la cavidad abdominal, establece una conexión física con las capas musculares, contribuyendo a la integridad estructural del órgano. Sin embargo, a pesar de esta adhesión, se destaca que existen separaciones en la forma de vasos sanguíneos y apéndices omentales. Estos elementos separativos añaden complejidad a la relación anatómica entre la serosa y las capas musculares.
Es importante destacar que cada segmento del intestino grueso adopta una disposición característica en relación con la serosa. Esta especificidad en la disposición sugiere que diferentes regiones del intestino grueso pueden tener variaciones estructurales y funcionales en la conexión con la serosa, adaptándose a las necesidades específicas de cada segmento en el proceso digestivo.

Síguenos en X: @el_homomedicus y @enarm_intensivo
Síguenos en instagram: homomedicus y en Treads.net como: Homomedicus

