Carcinoma de Paget
El carcinoma de Paget de la mama es una neoplasia poco común que representa aproximadamente el uno por ciento de todos los cánceres de mama. Su baja prevalencia puede atribuirse a factores histopatológicos y genéticos específicos, así como a la limitada extensión del tejido glandular afectado por esta variante. A diferencia de los carcinomas más frecuentes, que comprometen amplias zonas del parénquima mamario, el carcinoma de Paget se localiza principalmente en la región del pezón y la areola, con una progresión inicial que suele ser menos agresiva y con síntomas clínicamente sutiles.
Más del ochenta y cinco por ciento de los casos de carcinoma de Paget están asociados con la presencia de un cáncer mamario subyacente, que puede ser invasivo o no invasivo. Generalmente, este cáncer subyacente corresponde a un carcinoma ductal infiltrante bien diferenciado o a un carcinoma ductal in situ, los cuales se originan en las células epiteliales de los conductos mamarios. Esta relación sugiere que el carcinoma de Paget es una manifestación secundaria de la extensión de células tumorales hacia la epidermis del pezón, en lugar de un tumor primario independiente.
Los cambios visibles en el pezón suelen ser mínimos en las etapas iniciales, lo que dificulta la detección temprana. A diferencia de otras formas de cáncer de mama que presentan masas palpables bien definidas, el carcinoma de Paget puede no generar una masa tumoral palpable. Esto contribuye a que el diagnóstico sea frecuentemente pasado por alto, ya que los signos clínicos se perciben como benignos.
El síntoma inicial más común es la presencia de picazón o ardor en el pezón, acompañado en ocasiones por erosión o ulceración superficial de la piel. Debido a la similitud de estos signos con afecciones dermatológicas como la dermatitis o infecciones bacterianas locales, los pacientes suelen recibir tratamientos tópicos o antibióticos antes de que se considere la posibilidad de un cáncer subyacente. Esta confusión diagnóstica retrasa la identificación precisa de la enfermedad.
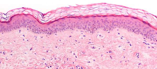
El diagnóstico definitivo del carcinoma de Paget se establece mediante la biopsia de la erosión o lesión visible en el pezón. Esta técnica permite identificar la presencia de células malignas características, conocidas como células de Paget, que son grandes, con núcleos hipercromáticos y citoplasma claro.
Cuando la enfermedad se limita exclusivamente a cambios en el pezón o está asociada únicamente con un carcinoma ductal in situ, la incidencia de metástasis axilares es extremadamente baja. En estos casos, el pronóstico es excelente, ya que la enfermedad permanece localizada y responde bien al tratamiento quirúrgico conservador.
Sin embargo, en aquellos casos en los que coexiste una masa palpable en la mama o se identifica un cáncer invasivo, el riesgo de metástasis a los ganglios linfáticos axilares aumenta significativamente. Esto se asocia con una marcada disminución en las tasas de curación mediante cirugía u otros tratamientos, como la radioterapia o la quimioterapia. La presencia de metástasis axilares indica una diseminación más avanzada de la enfermedad y una mayor complejidad terapéutica, lo que subraya la importancia de un diagnóstico precoz y una evaluación exhaustiva en cada caso sospechoso.
Carcinoma Inflamatorio
El carcinoma inflamatorio de mama es la variante más agresiva y maligna de este tipo de cáncer, aunque afortunadamente representa menos del tres por ciento de todos los casos. Su agresividad radica en su rápida proliferación, alta capacidad de invasión linfática y tendencia a diseminarse de manera temprana a órganos distantes, lo que lo diferencia de otras formas de cáncer mamario.
Desde el punto de vista clínico, este tipo de carcinoma se caracteriza por la aparición rápida de una masa que provoca un agrandamiento significativo de la mama afectada. Esta masa puede ser dolorosa, aunque en ocasiones la sensación de dolor no está presente. Lo más distintivo es el compromiso de la piel suprayacente, que adquiere una apariencia eritematosa (rojiza), edematosa (hinchada) y caliente al tacto.
A diferencia de otros cánceres de mama donde la presencia de una masa palpable bien delimitada suele ser evidente, en el carcinoma inflamatorio la lesión puede no ser fácilmente identificable debido a la infiltración difusa del tejido mamario por las células tumorales. Esta infiltración impide la formación de un tumor definido y contribuye a la apariencia clínica inflamatoria.
Los cambios inflamatorios que se observan en la piel no son el resultado de una infección, sino que se deben a la invasión de los vasos linfáticos subdérmicos por las células carcinomatosas. Esta invasión bloquea el drenaje linfático, lo que genera acumulación de líquido (edema) y un aumento del flujo sanguíneo (hiperemia), manifestándose como los signos clínicos descritos.
Debido a su apariencia inflamatoria, esta neoplasia es frecuentemente confundida con infecciones de la mama, como la mastitis. Cuando se sospecha una infección pero la lesión no responde a un tratamiento con antibióticos dentro de un periodo de una a dos semanas, es fundamental realizar una biopsia para descartar la presencia de carcinoma inflamatorio. El diagnóstico se establece cuando el enrojecimiento afecta más de un tercio de la superficie cutánea de la mama y la biopsia confirma la presencia de carcinoma infiltrante, frecuentemente con invasión de los linfáticos subdérmicos.
Una de las características más preocupantes del carcinoma inflamatorio es su alta propensión a la metástasis temprana y extensa. Las células malignas tienden a migrar rápidamente a los ganglios linfáticos axilares y a otros órganos distantes, lo que complica su tratamiento y reduce significativamente las tasas de supervivencia.
Si bien en el pasado se consideraba una enfermedad casi siempre incurable, los avances en el tratamiento han mejorado el pronóstico en algunos casos. Las terapias dirigidas contra el receptor del factor de crecimiento epidérmico humano tipo 2, también conocido como HER2, han demostrado ser particularmente efectivas cuando el tumor sobreexpresa o amplifica este receptor. En combinación con la quimioterapia y la cirugía, se han logrado algunas curaciones a largo plazo.
La mastectomía está indicada cuando la quimioterapia y la radioterapia logran una remisión clínica sin evidencia de metástasis a distancia. En estos casos, la extirpación quirúrgica permite erradicar la enfermedad residual en el tejido mamario. Sin embargo, la biopsia del ganglio centinela no está recomendada en el carcinoma inflamatorio debido a la alta tasa de resultados falsos negativos, lo que podría subestimar la extensión real de la enfermedad. Esta consideración resalta la complejidad diagnóstica y terapéutica de esta forma particularmente maligna de cáncer de mama.

Fuente y lecturas recomendadas:
- Goldman, L., & Schafer, A. I. (Eds.). (2020). Goldman-Cecil Medicine (26th ed.). Elsevier.
- Loscalzo, J., Fauci, A. S., Kasper, D. L., Hauser, S. L., Longo, D. L., & Jameson, J. L. (Eds.). (2022). Harrison. Principios de medicina interna (21.ª ed.). McGraw-Hill Education.
- Papadakis, M. A., McPhee, S. J., Rabow, M. W., & McQuaid, K. R. (Eds.). (2024). Diagnóstico clínico y tratamiento 2025. McGraw Hill.
- Rozman, C., & Cardellach López, F. (Eds.). (2024). Medicina interna (20.ª ed.). Elsevier España.

