La glomerulonefritis por inmunoglobulina monoclonal es una condición renal asociada a la presencia de una proteína monoclonal que puede inducir daño en los glomérulos, estructuras clave del riñón encargadas de filtrar los desechos sanguíneos. Esta patología se encuentra dentro del espectro de las gammapatías monoclonales, un conjunto de trastornos caracterizados por la producción anómala de una sola clase de inmunoglobulinas (anticuerpos). Aunque las gammapatías monoclonales no siempre cumplen con los criterios necesarios para ser tratadas como enfermedades hematológicas, pueden, en algunos casos, provocar afectación renal significativa, como ocurre en la glomerulonefritis por inmunoglobulina monoclonal, también conocida como gammapatía monoclonal de significancia renal.
La glomerulonefritis por inmunoglobulina monoclonal se presenta clínicamente de manera diversa, lo que dificulta su diagnóstico temprano. Los pacientes pueden manifestar desde hematuria (presencia de sangre en la orina) y proteinuria glomerular (proteínas en la orina derivadas del daño en los glomérulos) asintomáticas hasta una forma más grave, como la glomerulonefritis rápidamente progresiva (RPGN, por sus siglas en inglés), una condición que se caracteriza por un deterioro renal rápido y potencialmente irreversible. Esta variabilidad en la presentación clínica subraya la importancia de un diagnóstico oportuno y preciso.
Desde el punto de vista diagnóstico, los estudios de laboratorio desempeñan un papel fundamental. Los análisis suelen mostrar alteraciones en los niveles de cadenas ligeras libres de inmunoglobulinas en suero, las cuales indican la acumulación de cadenas ligeras kappa o lambda. Estos hallazgos son esenciales, ya que reflejan la presencia de proteínas monoclonales que provienen de un clon celular específico. Asimismo, los estudios de electroforesis de proteínas séricas y urinarias suelen ser anormales, evidenciando una concentración elevada de proteínas monoclonales anómalas en el suero o en la orina. La inmunofijación sérica o urinaria también puede revelar la presencia de un tipo específico de proteína monoclonal, como, por ejemplo, la inmunoglobulina G (IgG) tipo kappa. La combinación de estos resultados es clave para sospechar la presencia de glomerulonefritis por inmunoglobulina monoclonal, especialmente cuando no hay un diagnóstico previo de una enfermedad sistémica subyacente, como el mieloma múltiple, que podría dar lugar a la gammapatía monoclonal.
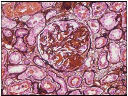
Cuando se sospecha de esta patología en un paciente que no está recibiendo tratamiento para una enfermedad hematológica sistémica, es recomendable realizar una biopsia renal. La biopsia es crucial para confirmar el diagnóstico, evaluar el grado de daño glomerular y guiar la elección del tratamiento adecuado. En el análisis histopatológico, los hallazgos microscópicos en el examen con microscopio de luz pueden ser variables, pero todos los casos de glomerulonefritis por inmunoglobulina monoclonal presentan una característica común: la presencia de inmunoglobulinas de un solo tipo en la inmunofluorescencia, lo que refleja la monoclonalidad de las proteínas involucradas en el daño renal.
El tratamiento de la glomerulonefritis por inmunoglobulina monoclonal se centra en la identificación y erradicación del clon productor de la proteína monoclonal. Esto se logra mediante terapias dirigidas al clon subyacente, dependiendo de su origen celular. Si el clon proviene de las células plasmáticas, se recomienda el uso de regímenes terapéuticos que incluyan bortezomib, un inhibidor de proteasomas utilizado en el tratamiento de trastornos relacionados con las células plasmáticas, como el mieloma múltiple. Por otro lado, si el clon se origina en las células B, los tratamientos con rituximab, un anticuerpo monoclonal dirigido contra el CD20 de las células B, han mostrado ser efectivos. Recientemente, el daratumumab, otro anticuerpo monoclonal que actúa contra el CD38, ha demostrado eficacia en ciertos subtipos de glomerulonefritis por inmunoglobulina monoclonal, ampliando así las opciones terapéuticas disponibles.
El pronóstico de la glomerulonefritis por inmunoglobulina monoclonal depende en gran medida del éxito en la erradicación del clon monoclonal subyacente. Si se alcanza la remisión del clon, el pronóstico renal es favorable y la función renal puede estabilizarse o incluso mejorar. Sin embargo, en aquellos casos donde el clon no es erradicado o el tratamiento es insuficiente, el daño renal puede progresar, lo que podría resultar en insuficiencia renal crónica.

Fuente y lecturas recomendadas:
- Gnanasampahthan S et al. Monoclonal gammopathies of renal significance. Clin Med. 2023;23:250. [PMID: 37236803]
- Karam S et al. Monoclonal gammopathy of renal significance: multidisciplinary approach to diagnosis and treatment. Crit Rev Oncol Hematol. 2023;183:103926. [PMID: 36736510]
Originally posted on 29 de marzo de 2025 @ 2:05 AM

