El derrame pleural se define como la acumulación anormal de líquido en la cavidad pleural, el espacio que se encuentra entre las dos capas de la pleura que recubre los pulmones y la pared torácica. El diagnóstico de este trastorno se basa en una combinación de síntomas clínicos, hallazgos físicos y métodos diagnósticos.
Manifestaciones clínicas
En términos de síntomas, el derrame pleural puede ser asintomático, especialmente cuando la acumulación de líquido es gradual y no alcanza volúmenes significativos. Sin embargo, cuando se presentan síntomas, los más comunes incluyen dolor en el pecho y disnea. El dolor torácico a menudo está asociado con pleuritis, trauma o infección y se manifiesta como una sensación aguda que se intensifica al respirar profundamente o toser. En contraste, la disnea es una queja frecuente en casos de grandes derrames, ya que la acumulación de líquido limita la expansión pulmonar y comprime el pulmón afectado.
El examen físico del paciente con un derrame pleural revela hallazgos característicos. La percusión del tórax en la zona del derrame pleural muestra una matidez que contrasta con la sonoridad normal del pulmón, debido a que el líquido es más denso que el aire y absorbe las ondas sonoras. Además, la auscultación en el área afectada puede revelar una disminución o ausencia de los sonidos respiratorios, ya que el líquido pleural actúa como una barrera que amortigua los sonidos generados por la ventilación pulmonar.
Fisiopatología
En la fisiología del sistema pleural, existe un equilibrio dinámico entre la producción y la absorción de líquido en la cavidad pleural. Normalmente, los capilares pleurales parietales, ubicados en la superficie interna de la pleura que recubre la pared torácica, secretan líquido pleural a una tasa constante. Esta secreción ocurre a una velocidad aproximada de 0,01 mililitros por kilogramo de peso corporal por hora. El líquido pleural tiene un papel fundamental en la lubricación de las superficies pleurales, facilitando la libre expansión y contracción del pulmón durante la respiración.
Este líquido pleural es, a su vez, drenado por los vasos linfáticos pleurales parietales, que se encuentran en la misma región de la pleura parietal. Los linfáticos absorben el líquido pleural, manteniendo así un equilibrio en el volumen del líquido en la cavidad pleural. Bajo condiciones normales, la cantidad de líquido en el espacio pleural es mínima, variando entre 5 y 15 mililitros. Esta cantidad es suficiente para lubricar la pleura y permitir un deslizamiento suave durante la respiración sin interferir en la función pulmonar.
Sin embargo, un derrame pleural ocurre cuando este equilibrio se altera y se acumula una cantidad anormal de líquido en la cavidad pleural. Esta acumulación puede ser resultado de diversos mecanismos patológicos que interfieren con la producción y absorción de líquido. Los derrames pleurales se pueden clasificar en dos categorías principales según el diagnóstico diferencial o la fisiopatología subyacente.
Tipos de derrame pleural
Desde el punto de vista del diagnóstico diferencial, los derrames pleurales se dividen en dos tipos: transudados y exudados. Los transudados suelen ser el resultado de un desequilibrio en la presión hidrostática o coloidosmótica en los capilares pleurales, a menudo asociado con condiciones sistémicas como insuficiencia cardíaca congestiva o cirrosis hepática. Por otro lado, los exudados se producen debido a procesos inflamatorios o malignos que afectan directamente la pleura, como en la pleuritis infecciosa, el cáncer pleural o la tuberculosis. Los exudados tienen una composición química y celular distinta, caracterizada por un aumento en proteínas, lactato deshidrogenasa y, a menudo, células inflamatorias o cancerosas.
Desde la perspectiva de la fisiopatología subyacente, los derrames pleurales pueden clasificarse en función de las causas que alteran el equilibrio normal de producción y absorción del líquido pleural. Estas causas incluyen alteraciones en la presión intrapleural, cambios en la permeabilidad capilar pleural o problemas en el drenaje linfático. Por ejemplo, en la insuficiencia cardíaca, la presión aumentada en los capilares pulmonares lleva a una mayor filtración de líquido hacia el espacio pleural. En enfermedades como el cáncer, la infiltración tumoral puede alterar la función de los linfáticos pleurales y aumentar la permeabilidad capilar, favoreciendo la acumulación de líquido.
La acumulación anormal de líquido en la cavidad pleural, conocida como derrame pleural, puede clasificarse en transudados y exudados según el mecanismo patológico subyacente. Cada tipo tiene causas específicas que alteran el equilibrio normal entre la producción y la absorción del líquido pleural.
Transudados
Los transudados se caracterizan por un aumento en la producción de líquido pleural debido a alteraciones en las presiones hidrostáticas u oncóticas, sin una alteración significativa en la permeabilidad capilar pleural. Las principales causas de transudados incluyen:
- Insuficiencia cardíaca congestiva (HF): El aumento de la presión venosa pulmonar en la insuficiencia cardíaca congestiva eleva la presión hidrostática en los capilares pulmonares, facilitando la transudación de líquido hacia el espacio pleural.
- Cirrosis con ascitis: La cirrosis hepática provoca una disminución en la presión oncótica debido a la reducción de la producción de albúmina. La ascitis asociada aumenta la presión abdominal, contribuyendo al derrame pleural por transudación.
- Síndrome nefrótico: Este síndrome causa una pérdida significativa de proteínas en la orina, disminuyendo la presión oncótica plasmática y favoreciendo la acumulación de líquido en el espacio pleural.
- Diálisis peritoneal: La presencia de líquido dializado en la cavidad peritoneal puede provocar un desequilibrio en las presiones oncóticas y transudación hacia la cavidad pleural.
- Mixedema: En el contexto del hipotiroidismo severo, el mixedema reduce la presión oncótica plasmática, favoreciendo la transudación de líquido pleural.
- Atelectasia aguda: La colapsión pulmonar en atelectasia puede alterar la dinámica del líquido pleural, especialmente cuando hay una pérdida de superficie pulmonar funcional.
- Pericarditis constrictiva: La constricción del pericardio limita la diástole ventricular, aumentando la presión venosa y, en consecuencia, la presión pleural.
- Obstrucción de la vena cava superior: La presión elevada en la vena cava superior puede resultar en un aumento de la presión hidrostática en los capilares pulmonares, promoviendo la transudación de líquido pleural.
- Hipoproteinemia: La disminución en los niveles de proteínas plasmáticas, particularmente la albúmina, reduce la presión oncótica y contribuye a la acumulación de líquido pleural.
- Hipertensión pulmonar: El aumento de la presión en las arterias pulmonares puede causar transudación de líquido hacia la cavidad pleural.
Exudados
Los exudados resultan de una alteración en la permeabilidad capilar pleural, permitiendo la filtración de proteínas y células en el líquido pleural. Las causas principales incluyen:
- Neumonía (incluyendo efusión parapneumónica y empiema): La infección pulmonar puede inducir una respuesta inflamatoria que aumenta la permeabilidad capilar y permite la entrada de proteínas y células inflamatorias en el líquido pleural.
- Cáncer: Los tumores pleurales o metastásicos pueden causar una inflamación local y una alteración en la permeabilidad capilar pleural, resultando en un exudado.
- Infección bacteriana (incluyendo empiema): La infección bacteriana en el espacio pleural provoca una respuesta inflamatoria con producción de un líquido purulento y aumento de la permeabilidad capilar.
- Tuberculosis: La tuberculosis pleural puede causar inflamación crónica, aumentando la permeabilidad capilar y la acumulación de líquido exudativo.
- Enfermedades del tejido conectivo: Trastornos como el lupus eritematoso sistémico o la artritis reumatoide pueden afectar la pleura y causar un exudado pleural debido a inflamación crónica.
- Infección viral: Algunas infecciones virales pueden inducir inflamación pleural y alteraciones en la permeabilidad capilar, resultando en un exudado pleural.
- Infección fúngica: Las infecciones por hongos pueden provocar inflamación pleural y aumento de la permeabilidad capilar, contribuyendo a la formación de un exudado.
- Infección por rickettsias: Los rickettsios pueden causar inflamación pleural y exudación de líquido.
- Infección parasitaria: Algunos parásitos pueden inducir una respuesta inflamatoria en la pleura, resultando en un líquido pleural exudativo.
- Asbestosis: La exposición al asbesto puede causar pleuritis crónica y formación de un exudado pleural.
- Síndrome de Meigs: Asociado con tumores ováricos, el síndrome de Meigs puede provocar un derrame pleural exudativo por efectos tumorales y aumento de la permeabilidad capilar.
- Enfermedades pancreáticas: La pancreatitis puede causar derrame pleural exudativo debido a la inflamación y la irritación pleural.
- Uremia: La insuficiencia renal crónica puede llevar a una inflamación pleural y acumulación de líquido exudativo.
- Atelectasia crónica: El colapso prolongado del pulmón puede alterar la dinámica del líquido pleural, resultando en un exudado.
- Pulmón atrapado (trapped lung): Esta condición, en la que el pulmón no puede expandirse completamente, puede causar acumulación de líquido exudativo.
- Quilotórax: La acumulación de linfa en el espacio pleural, típicamente debido a una lesión del conducto torácico, resulta en un derrame pleural lechoso (quiloso).
- Sarcoidosis: Esta enfermedad granulomatosa puede causar inflamación pleural y un derrame exudativo.
- Reacción a fármacos (por ejemplo, dasatinib): Algunos medicamentos pueden inducir inflamación pleural y exudación de líquido.
- Síndrome post–lesión miocárdica: Después de una lesión cardíaca, como un infarto de miocardio, puede haber acumulación de líquido pleural exudativo debido a inflamación y efectos secundarios.
- Perforación esofágica: La perforación del esófago puede causar derrame pleural exudativo por la inflamación e irritación pleural.
- Radioterapia torácica: La exposición a radiación en el tórax puede inducir inflamación pleural y acumulación de líquido exudativo.

Causas del derrame pleural
En el contexto del derrame pleural, existen cinco procesos fisiopatológicos principales que explican la mayoría de los casos de acumulación anormal de líquido en el espacio pleural. Estos procesos se pueden clasificar según su impacto en la dinámica del líquido pleural y la causa subyacente del derrame.
En primer lugar, un aumento en la producción de líquido pleural puede ocurrir debido a un incremento en las presiones hidrostáticas o oncóticas dentro de los capilares pleurales. Este tipo de derrame pleural, conocido como transudado, resulta de un desequilibrio en las fuerzas que regulan el movimiento de líquido hacia y desde el espacio pleural. Las condiciones como la insuficiencia cardíaca congestiva o la cirrosis hepática pueden elevar la presión hidrostática en los capilares pulmonares o reducir la presión oncótica en la circulación sistémica, facilitando la transudación de líquido hacia la cavidad pleural.
En segundo lugar, el aumento en la producción de líquido debido a una permeabilidad capilar anormal da lugar a los exudados. Esta alteración en la permeabilidad capilar puede ser provocada por procesos inflamatorios o malignos que afectan la pleura, como infecciones o tumores. La inflamación o lesión de los capilares pleurales incrementa la filtración de proteínas y células en el líquido pleural, lo que caracteriza a los exudados por una mayor concentración de proteínas y lactato deshidrogenasa en comparación con los transudados.
El tercer proceso fisiopatológico involucra la disminución del aclaramiento linfático del líquido en el espacio pleural. En este caso, el líquido pleural acumulado no es eficientemente drenado por los vasos linfáticos pleurales, lo que resulta en una acumulación excesiva de líquido en la cavidad pleural. Esta disfunción en el sistema linfático puede ser consecuencia de obstrucciones o infiltraciones tumorales que comprometen el drenaje linfático y contribuyen a la formación de exudados.
El cuarto proceso es la infección en el espacio pleural, conocida como empiema. En el empiema, la presencia de bacterias en la cavidad pleural induce una respuesta inflamatoria que lleva a la formación de un líquido purulento. Este tipo de derrame pleural se caracteriza por un contenido elevado de leucocitos y la presencia de material infeccioso, lo que puede complicar el tratamiento y requiere una intervención adecuada para erradicar la infección.
Finalmente, el quinto proceso es el sangrado en el espacio pleural, o hemotórax. El hemotórax resulta de una hemorragia dentro de la cavidad pleural, que puede ser causada por traumatismos, procedimientos invasivos o malignidades. La presencia de sangre en el espacio pleural altera significativamente la composición del líquido pleural y puede llevar a complicaciones graves si no se maneja adecuadamente.
Exámenes complementarios
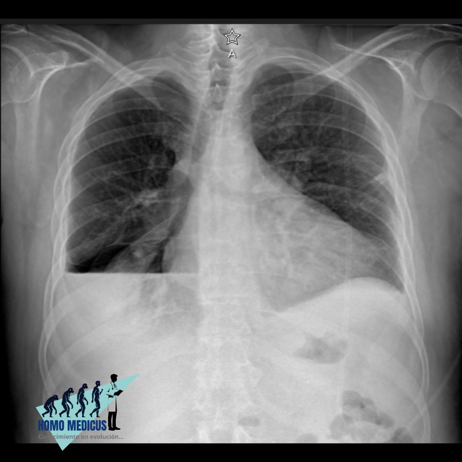
La evaluación por imágenes, particularmente a través de la radiografía de tórax, proporciona evidencia visual clave para el diagnóstico del derrame pleural. En una radiografía, el derrame se manifiesta como una opacidad en el área del pulmón, con un nivel horizontal de líquido visible en proyecciones de pie o una opacidad en la base del pulmón en proyecciones acostadas. Los signos radiográficos adicionales, como el desplazamiento del mediastino o la ampliación de la silueta cardiaca, pueden indicar la presencia de un derrame grande.
La toracocentesis es un procedimiento diagnóstico y terapéutico crucial para la evaluación del líquido pleural acumulado. Mediante este procedimiento, se obtiene una muestra de líquido que se analiza para determinar la causa subyacente del derrame. El análisis del líquido pleural incluye la evaluación de sus características macroscópicas, como color y aspecto, así como su composición química y celular. Este análisis ayuda a clasificar el líquido en transudado o exudado según los criterios de Light, proporcionando indicios sobre posibles condiciones subyacentes como insuficiencia cardíaca congestiva, cirrosis hepática, infecciones, tumores o pleuritis. La presencia de bacterias, células cancerosas o cristales en el líquido también puede guiar el manejo y tratamiento del derrame.

Fuente y lecturas recomendadas:
- DeBiasi EM, Slatore CG, Hales CA. Anatomy and applied physiology of the pleural space. Clin Chest Med. 2021;42:567. [PMID: 34774165]
- Gayen S. Malignant pleural effusion: presentation, diagnosis, and management. Am J Med. 2022;135:1188. [PMID: 35576996]
- Zheng WQ, Zhang L, Zhang T. Pleural fluid biochemical analysis: the past, present and future. Clin Chem Lab Med. 2022 Nov 17. [Epub ahead of print] [PMID: 36383033]
Originally posted on 2 de septiembre de 2024 @ 3:09 PM

