Terminología anatómica internacional

Terminología anatómica internacional

En 1998, después de una serie de consultas exhaustivas con todos los miembros de la Federación Internacional de Asociaciones de Anatomistas (IFAA, por sus siglas en inglés), se creó un…
¿Qué es el melanoma maligno?

¿Qué es el melanoma maligno?

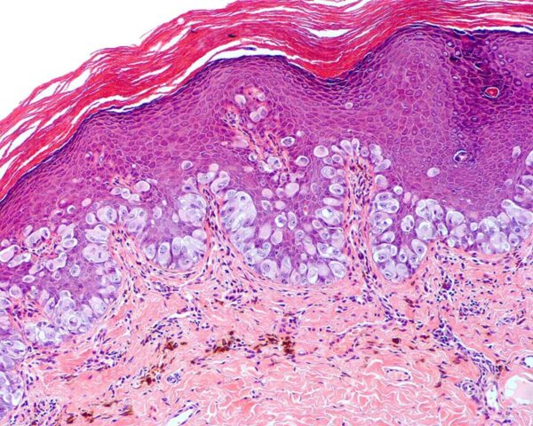
El melanoma maligno es la principal causa de muerte por enfermedad de la piel. Uno de cada cuatro casos de melanoma se presenta antes de la edad de 40 años.…
Enfermedad inflamatoria sinonasal

Enfermedad inflamatoria sinonasal

La enfermedad inflamatoria sinonasal (EIS) abarca diversas condiciones patológicas que afectan la nariz y los senos paranasales, entre las cuales la granulomatosis con poliangiitis (GPA) y la sarcoidosis son destacadas…
¿Cuáles son los marcapasos del corazón?

¿Cuáles son los marcapasos del corazón?

El impulso normalmente se origina en el nódulo sinusal, pero otras partes del corazón pueden presentar también una excitación rítmica intrínseca de la misma forma que lo hacen las fibras…
Asesorías sobre vacunas

Asesorías sobre vacunas

La integración de la asesoría sobre vacunas y la vacunación en la atención clínica de individuos de todas las edades constituye una piedra angular en la estrategia de salud pública…
Colecistitis aguda

Colecistitis aguda

La colecistitis es una inflamación de la vesícula biliar que generalmente se asocia con la presencia de cálculos biliares en un 90–95% de los casos. Esta patología se desarrolla típicamente…