Publicado enDermatología
Manifestaciones clínicas de la candidiasis mucocutánea
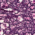
La candidiasis mucocutánea se distingue como una infección fúngica superficial que presenta la capacidad de afectar virtualmente cualquier superficie cutánea o mucosa del cuerpo humano. Esta condición, caracterizada por su…









