Tratamiento de la dermatitis por contacto

Tratamiento de la dermatitis por contacto

Existen varias cremas muy eficaces que se pueden aplicar antes del contacto para prevenir o reducir la magnitud de la dermatitis por contacto. Estas cremas se conocen como barreras cutáneas…
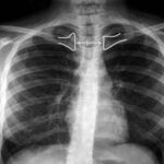
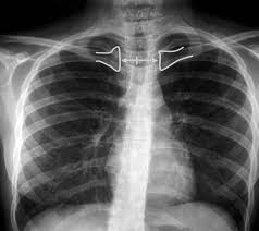
¿Que músculos se insertan en la clavícula?

¿Que músculos se insertan en la clavícula?

La clavícula es un hueso largo y delgado situado en la parte superior y frontal del tórax humano, extendiéndose desde el manubrio esternal hasta el acromion de la escápula. Su…
Causas de dermatitis por contacto

Causas de dermatitis por contacto

La dermatitis por contacto, ya sea irritante o alérgica, es una condición cutánea que se produce como resultado del contacto directo de la piel con sustancias químicas o alérgenos. La…
Autopsia y donación de órganos

Autopsia y donación de órganos

Discutir las opciones de autopsia y donación de órganos con los pacientes antes de su fallecimiento representa una buena práctica médica respaldada por múltiples beneficios tanto éticos como prácticos. Desde…
Actinomicosis

Actinomicosis

Actinomyces israelii y otras especies del género Actinomyces forman parte de la flora normal de la cavidad oral y de las criptas amigdalinas debido a sus características microbiológicas y a…