Tipos de endocitosis

Tipos de endocitosis

La captación de líquidos o macromoléculas por parte de la célula se denomina endocitosis, y es un proceso crucial para la captación de nutrientes, la regulación del equilibrio celular y…
¿Qué es el colon o intestino grueso?

¿Qué es el colon o intestino grueso?

El colon es una parte esencial del sistema digestivo que sigue al íleon, la última sección del intestino delgado. Su extensión abarca desde el orificio ileal, también conocido como válvula…
Aspergilosis

Aspergilosis

Aspergillus fumigatus es el agente patógeno más comúnmente asociado con la aspergilosis, aunque existen muchas otras especies del género Aspergillus que pueden dar lugar a un amplio espectro de enfermedades.…
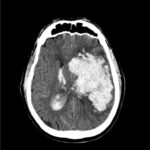
Enfermedad cerebrovascular oclusiva

Enfermedad cerebrovascular oclusiva

La enfermedad cerebrovascular oclusiva, también conocida como accidente cerebrovascular isquémico, es una condición patológica caracterizada por una interrupción en el flujo sanguíneo hacia una región del cerebro, lo que resulta…