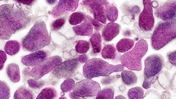
Criptococosis

Criptococosis

La criptococosis es una enfermedad fúngica principalmente causada por Cryptococcus neoformans, una levadura encapsulada que se reproduce por gemación y que se encuentra de manera ubícua en el suelo y…
Cómo afecta el consumo de alcohol al corazón

¿Cómo afecta el consumo de alcohol al corazón?

El consumo de alcohol en forma crónica engendra una serie de complicaciones cardiovasculares que involucran alteraciones a nivel estructural y funcional. La miocardiopatía alcohólica, una entidad patológica caracterizada por el…
Patogenia de la diabetes mellitus tipo 1

Patogenia de la diabetes mellitus tipo 1

La patogenia de la diabetes mellitus tipo 1 es un proceso complejo que involucra la respuesta autoinmune del sistema inmunitario contra las células beta del islote pancreático, las cuales son…
Efectos crónicos del cosumo de alcohol

Efectos crónicos del cosumo de alcohol

Los efectos crónicos del consumo de alcohol se refieren a las consecuencias a largo plazo que pueden surgir como resultado del consumo continuado y excesivo de esta sustancia. A diferencia…